Millions of women around the world gathered Saturday night to hear the Worldwide Women’s Conference. This year ages 8+ were invited and I enjoyed having my two younger daughters with me. Kindness, love and support for one another were the themes that stood out for me – also the divine inheritance of women to care about other people. Divine because we are daughters of God. It was beautiful. I couldn’t help but think of all of the women who have been providing such beautiful service to our family in a multitude of ways. It was also cold – we were not early enough to claim a comfortable, padded seat and ended up in the gym, sitting metal chairs. Kimberly and I were both very cold and sat as close to one another as we could. I took my scarf off my neck and made it into a shawl for her and we found my long maxi-skirt was able to cover both sets of legs. This opportunity to cuddle with my 11 year old made me think of how I love my girls and of the day that I decided I wanted a daughter.
I was 9 months pregnant with my third child and was hoping for another boy. With two amazing little boys I just wanted to fill my house with more! (No – I did not know what I was having. I have never, ever peeked at a present or tried to learn a surprise before its time… and with six kids I never took advantage of the ultrasound to learn if my baby would be a boy or a girl!) Anyway, I stopped at a friend’s home to drop something off; she came to the door with her 10 year old daughter. They were so cute together – doing their housework or something. As I drove away I was almost overcome with such a desire for a little girl of my own! Happy Day when our baby turned out to be a girl! Three boys and three girls was the final tally and I love them all!

Speaking of that little third baby girl – I can now write a follow-up on Jackie’s situation because we spent the day (yesterday)in Portland at OHSU. Not the entire day… we had planned to have two afternoon appointments, but one was moved to the morning. This left us with several free hours and I knew that Jackie would never survive that long in a chair, so we headed to my friend Nina’s house west of Portland. She has good food and a soft couch. I mention this so that I can include cute photos of her new baby goats….
Back to the hospital. Everything looks GOOD! Our thoracic surgeon was very impressed that Jackie has been off of narcotic pain meds for well over a week. He drew us a picture of what her left lung now looks like. It has a strange bump in the middle of it where it has filled in the space left by the missing vertebral bodies. I Otherwise her lungs are clear as well as the surrounding tissues. They couldn’t have been more pleased.
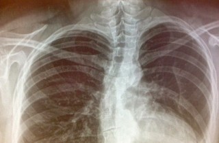
Our orthopedic doctor is always fun to visit. His partner (an orthopedic “fellow”) was also there. He talked to us first and I asked him to demonstrate on a model of the spine just what they did. That was helpful. The two incisions are so interesting – we asked him just exactly how that worked. At one point all four surgeons were working simultaneously. Two working through the back incision and two working through the side. Ouch! He said it is certainly the most cool surgery he has ever seen. At this moment our main surgeon walked in. I told him that we were discussing how awesome the surgery had been. He said it was absolutely a very cool surgery! He pulled up the chest X-ray. Wow.. – look for the part of the spine that looks like a bite has been taken out of it. Ouch!
There had been a sliver of hope that Jackie’s biopsy had been incorrect. Everyone who looked at her case said a chordoma didn’t usually grow quite as her had, besides the unusual location. Certainly we were hoping that they were right – a benign tumor would have been great news. The biopsy was correct – pathology shows a thoracic chordoma. Still plenty of room for celebrating – its unusual growth simply means that Jackie’s spine is still completely stable – most chordoma patients would undergo at least one other surgery for spine stabilization. Margins were also wide enough that they feel confident about complete removal and, at least for the present, we will not be commuting to Seattle for proton radiation (hooray!!).
One more item of interest – apparently her tumor is now part of a research study and it is doing interesting things in “culture”. He told us it was growing in a way that they never do – we were on information overload and didn’t quite take it all in. As soon as we left we turned to each other and asked, “What exactly did he say the tumor was doing?” Somewhere, there is a petri dish providing someone a little chordoma entertainment. We only know this because they requested a blood draw for research and we spent some time running the correct paperwork back and forth (I figured I was faster than waiting for the system to work). Hopefully they will keep our doctor updated and we can figure that out when we return in May.
Poor Jackie, we left the house after 8:00 and didn’t get home until after 5:30. This was her first time away from the house (aside from accompanying me on a couple of mom-taxi-trips). We forgot to take Tylenol with us. Fortunately her pain was minimal and a carton of chocolate milk on the way home brought her all the comfort she needed – she certainly slept well last night!




















Can't wait for our perfect bodies in the eternities. For now we just have to do with our Godly spirits to help us get to the next stage.
LikeLike